肝癌
さんの情報は

肝癌

生没年不詳

肝癌(かんがん、英: Liver cancer)は、肝臓に発生した悪性腫瘍の総称である。

※Wikipediaの情報から機械的に算出しています。
情報の正確性を保証するものではありません。

肝癌
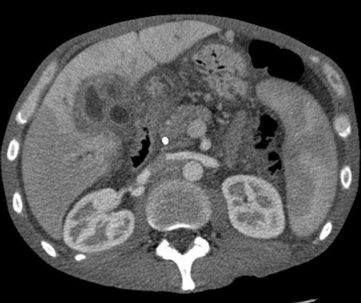
胆管細胞癌のCT画像
概要
診療科 腫瘍学
分類および外部参照情報
ICD-10 C22
OMIM 114550
DiseasesDB 7574
MedlinePlus 000280
MeSH D008113
肝癌」を
Wikipediaで調べる

「肝癌」さんについての
一言コメント

まだコメントはありません。